Por Tomas Porto

O zagueiro do Argentinos Juniors, Luciano Sánchez, sofreu uma grave lesão em um lance com o lateral Marcelo, do Fluminense, durante o jogo pelas oitavas de final da Copa Libertadores. A lesão foi uma luxação completa do joelho esquerdo, e o departamento médico do clube de Buenos Aires informou que será necessária uma cirurgia. Uma cena terrível ocorreu na noite de terça-feira e causou grande comoção no estádio.
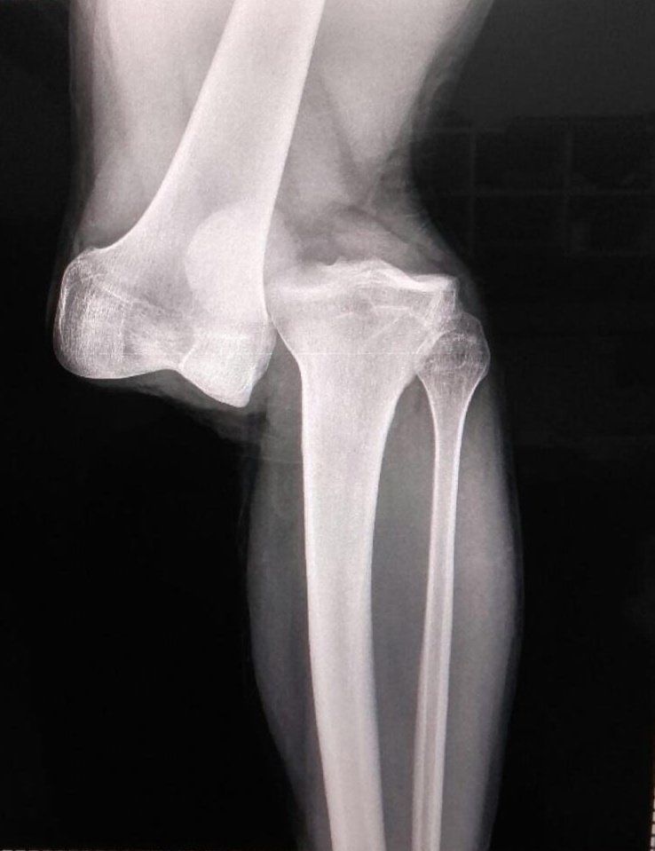
O médico do Argentinos Juniors, Alejandro Ronconi, descreveu uma lesão como algo raro em sua experiência de 23 anos. Segundo ele, uma lesão é quase como uma separação do fêmur com a fíbula e evoluiu em uma ruptura dos ligamentos cruzados anterior e posterior. A gravidade do caso também envolve preocupação com os meniscos, que será necessário avaliar durante a cirurgia.
O prognóstico para a recuperação de Sánchez é de 10 a 12 meses, o que significa que o zagueiro passará um longo período fora dos gramados. A lesão é tão complexa que o jogador precisará passar por mais de uma intervenção cirúrgica para a sua reconstrução. A notícia abalou tanto os fãs do Argentinos Juniors quanto ao futebol em geral, já que a lesão foi chocante e impactante para todos os presentes no estádio e aqueles que acompanhavam o jogo pela televisão.
A ação que levou à lesão ocorreu no início do segundo tempo, quando Marcelo roubou a bola no meio-campo e tentou sair jogando. Infelizmente, ele acabou pisando sem querer na perna de Luciano Sánchez, causado em uma torção severa do joelho do jogador argentino. Imediatamente, ele foi retirado de campo em uma maca e levado ao hospital de Buenos Aires para receber atendimento médico.

Acima, está a imagem do Raio-X de Luciano Sánchez, revelada pelo médico do Argentinos Juniors
A lesão de Sánchez também reabre o debate sobre a segurança e proteção dos jogadores durante as partidas de futebol. Acidentes acontecem em campo, mas esse caso serve como um atleta de como os jogadores estão constantemente sujeitos a riscos físicos enquanto praticam o esporte que amam. A comunidade esportiva e os fãs enviam seus desejos de uma recuperação rápida ao zagueiro e esperam vê-lo de volta aos gramados o mais breve possível. Enquanto isso, o clube e seus colegas de equipe precisarão lidar com a ausência de um jogador importante durante a jornada de recuperação de Luciano Sánchez.

31/03/2025

31/03/2025

31/03/2025

31/03/2025

31/03/2025

31/03/2025

31/03/2025

31/03/2025

31/03/2025

31/03/2025

31/03/2025

31/03/2025

31/03/2025

31/03/2025

31/03/2025

31/03/2025

31/03/2025

31/03/2025